Invisalign vs. Braces in North Hollywood: Which Is Right for You?
Straight teeth are not just cosmetic. A properly aligned bite is easier to clean, puts less stress on your jaw, and reduces your risk of cavities and gum disease. If you have been thinking about straightening your teeth, you have probably already encountered the big question: Invisalign in North Hollywood or traditional braces?
Both options work. However, they work differently — and one is usually a better fit for your lifestyle, budget, and the complexity of your case. Here is an honest comparison from the team at A-Dental Center.
What Is Invisalign in North Hollywood?
How the Invisalign System Works
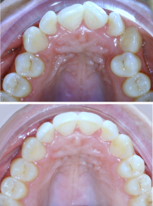
Invisalign in North Hollywood uses a series of custom-made, removable clear plastic trays to gradually shift your teeth into position. Each set of aligners is worn for about one to two weeks before moving on to the next set. Treatment typically takes 12 to 18 months for most adult cases, though simpler cases can finish faster.
Why Invisalign Has Become So Popular
Because the aligners are transparent and removable, they are virtually invisible when worn. Additionally, they can be taken out for eating, drinking, and brushing — making oral hygiene significantly easier than with fixed braces.
According to the American Dental Association, clear aligner therapy has become one of the most widely adopted orthodontic treatments in adult dentistry. Patient satisfaction rates remain consistently high among those who comply with wear guidelines.
What Are Traditional Braces?
How Braces Work Differently
Traditional braces use metal brackets bonded to each tooth, connected by an archwire that your orthodontist adjusts periodically to guide tooth movement. Modern braces are smaller and more comfortable than they used to be. Furthermore, tooth-colored ceramic braces are available for patients who want a less visible option.
The Key Difference From Invisalign
Braces are fixed — they cannot be removed until treatment is complete. As a result, they work whether or not you remember to put them in. For patients who struggle with compliance, this is a significant advantage.
Invisalign in North Hollywood: Key Advantages



Why Many Adults Choose Invisalign
Invisalign in North Hollywood offers several practical advantages that make it the preferred choice for most adult patients:
- Nearly invisible — most people will not notice you are wearing them
- Removable — eat and drink whatever you want, brush and floss normally
- Better for oral hygiene — patients with fixed braces often struggle with plaque accumulation that can lead to gum disease and gum recession if home care is not meticulous
- Generally more comfortable — no brackets or wires to irritate your cheeks
- Fewer office visits — check-ins are typically every 6–8 weekshttps://adental.com/blog/why-are-my-gums-bleeding-when-i-brush
- Ideal for adults and professionals who cannot have visible hardware
Traditional Braces: Key Advantages
When Braces Are the Better Choice
Traditional braces remain the superior option in several important situations:
- More effective for complex cases — severe crowding, large gaps, and bite correction
- No compliance required — braces work 24/7 without any effort from you
- Often less expensive for complex treatment plans
- Better for younger patients who may not be diligent about wearing aligners consistently
Invisalign North Hollywood vs. Braces: Which Option Is Right for You?
Choosing Based on Your Specific Situation
For most mild-to-moderate alignment cases in adults, Invisalign in North Hollywood is an excellent choice. It is discreet, comfortable, and fits easily into a busy lifestyle. If you will reliably wear the aligners 20 to 22 hours per day, you will get great results.
For more complex cases — significant bite issues, severely rotated teeth, or patients who are less likely to comply — traditional braces may be more appropriate and more predictable.
Address Dental Health Issues Before Starting Treatment
It is also worth considering the bigger picture of your dental health before starting orthodontic treatment. Active gum disease should be treated before moving teeth. Our post on what a deep cleaning is and whether you need one explains why gum health is a prerequisite for any orthodontic work.
Similarly, untreated cavities should be addressed before beginning treatment. Our post on what happens if you don’t fill a cavity explains exactly why. The Mayo Clinic also recommends a comprehensive dental evaluation before starting any orthodontic treatment.
The Only Way to Know for Certain
A consultation is the only way to determine which option is right for your specific situation. Your dentist will evaluate your teeth, your bite, and your lifestyle — then recommend the option most likely to achieve your goals.
After Invisalign in North Hollywood: Protecting Your Results
Why Post-Treatment Care Matters
Once your teeth are straight, protecting them becomes the priority. If you grind your teeth at night, a custom night guard is essential. Grinding can shift teeth back toward their original positions and undo months of treatment. As a result, a retainer alone may not be sufficient protection if bruxism is present.
Combining Invisalign With Cosmetic Treatments
Many patients who complete Invisalign in North Hollywood also consider porcelain veneers or professional whitening to complement their newly aligned smile. Our team can discuss the right sequencing so that cosmetic treatments are timed correctly after orthodontic work is complete.
Additionally, our post on are veneers permanent explains the commitment involved — important context for patients planning both Invisalign and cosmetic work together.
Start Your Invisalign Journey in North Hollywood Today
What to Expect at Your Consultation
At A-Dental Center, we offer Invisalign in North Hollywood to help you achieve a straighter smile discreetly and comfortably. At your consultation, we evaluate your teeth, walk you through your options, and give you a realistic picture of your timeline and cost.
For a full breakdown of what orthodontic treatment costs in North Hollywood, read our post on how much a dentist costs in North Hollywood. If dental anxiety has been holding you back from any treatment, our post on dental anxiety in North Hollywood explains how we make every visit comfortable.
Call (818) 593-0700 or book a free consultation online to get started with Invisalign in North Hollywood today.




